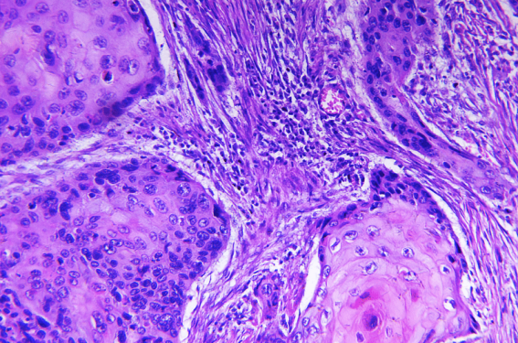
Transplantés d’organe et risque de second carcinome épidermoïde cutané
Une étude norvégienne a évalué le risque de la survenue d’un second carcinome épidermoïde cutané, de métastases et de décès liés à un carcinome épidermoïde cutané chez les patients transplantés d’organe et les patients non transplantés. Les patients...
Attention, pour des raisons réglementaires ce site est réservé aux professionnels de santé.
pour voir la suite, inscrivez-vous gratuitement.
Si vous êtes déjà inscrit,
connectez vous :
Si vous n'êtes pas encore inscrit au site,
inscrivez-vous gratuitement :
