Aller au contenu principal
TwitterFacebookLinkedinPartager

Protocole

Publié le  Lecture 4 mins

Consolidation osseuse en radiologie : il n’y a pas que la cimentoplastie !

Quentin DURAND, Maxime PASTOR, Yann THOUVENIN, service d’imagerie médicale Lapeyronie, CHU de Montpellier

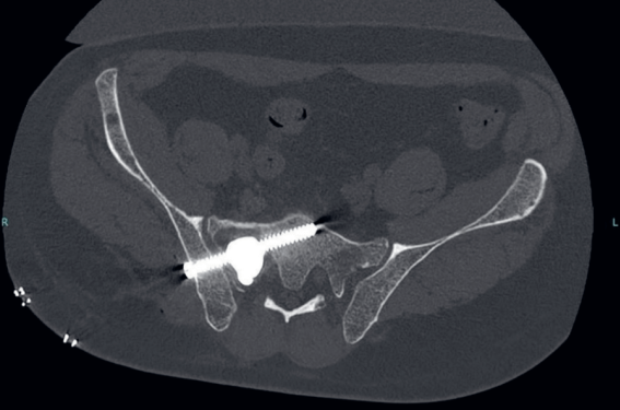
À l’heure actuelle, près d’un patient métastatique sur cinq présente une localisation osseuse secondaire(1). La ceinture pelvienne constitue le deuxième site de localisation préférentielle, après le rachis, soit un peu plus de 10 % des patients avec une néoplasie métastatique sur un site osseux(1,2). Parmi ces patients, entre 20 et 50 % d’entre eux selon les études présenteront une complication à type de fracture pathologique. Celle-ci entraîne une dégradation de la qualité de vie des patients pouvant aller jusqu’à une impossibilité de mise en charge.

À la différence du rachis, où les contraintes en compression sont les seules qui s’exercent, l’anneau pelvien reçoit des contraintes plus complexes, en particulier de torsion et de tension, afin de transmettre les forces du rachis aux membres inférieurs, et inversement (3). La complexité des...

Attention, pour des raisons réglementaires ce site est réservé aux professionnels de santé.

pour voir la suite, inscrivez-vous gratuitement.

Si vous êtes déjà inscrit,
connectez vous :

Si vous n'êtes pas encore inscrit au site,
inscrivez-vous gratuitement :