Aller au contenu principal
TwitterFacebookLinkedinPartager

Technologie

Publié le  Lecture 7 mins

Cryoablation percutanée des malformations veineuses : une approche mini-invasive efficace

Clément MARCELIN, CHU de Bordeaux

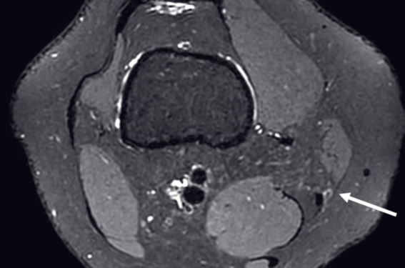
Les malformations veineuses (MV) et les anomalies fibro-adipeuses vasculaires (FAVA) sont des affections vasculaires congénitales qui, bien que bénignes, peuvent être invalidantes en raison de douleurs chroniques et d’une altération de la qualité de vie des patients. Traditionnellement, la prise en charge repose sur des options thérapeutiques variées, notamment la sclérothérapie et la chirurgie. Cependant, ces traitements présentent certaines limites, telles qu’un risque élevé de récidive, une efficacité parfois limitée et des complications postopératoires potentielles(1,2). Parmi les alternatives émergentes, la cryoablation percutanée (CA), une technique mini-invasive guidée par l’imagerie, se distingue par son efficacité et sa capacité à traiter les lésions en minimisant les risques pour les tissus environnants(3,4).

Principe et technique de la cryoablation La cryoablation repose sur l’utilisation de sondes cryogéniques qui appliquent des températures extrêmement basses (- 40 à – 80 °C) directement sur la lésion. Cette procédure entraîne la formation de cristaux intracellulaires provoquant une rupture des...

Attention, pour des raisons réglementaires ce site est réservé aux professionnels de santé.

pour voir la suite, inscrivez-vous gratuitement.

Si vous êtes déjà inscrit,
connectez vous :

Si vous n'êtes pas encore inscrit au site,
inscrivez-vous gratuitement :