Aller au contenu principal
TwitterFacebookLinkedinPartager

Vision

Publié le  Lecture 6 mins

Présentation du protocole MARGIN

Julien FRANDON, IMAGINE UR UM 103, Université de Montpellier, Département d’imagerie médicale, CHU de Nîmes

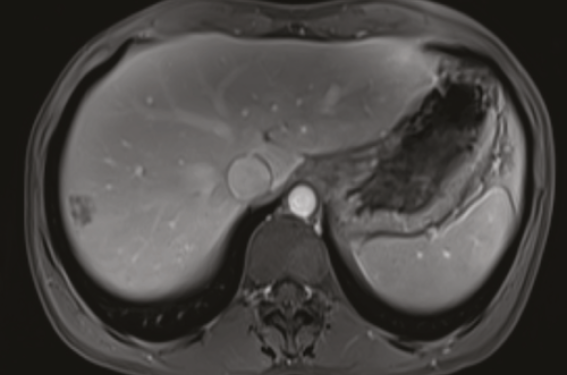
Une nouvelle étude clinique a été mis en place grâce aux efforts des CHU de Nîmes et de Montpellier : MARGIN pour le traitement des Métastases hépatiques par Ablation percutanée dans le cancer coloRectal avec Guidage par Imagerie par aNgio-CT.

Cette étude va évaluer l’efficacité de deux techniques de guidage (scanner injecté standard vs porto-scanner avec angio-CT) pour le traitement par thermoablation des métastases hépatiques de cancer colorectal (CCR). Il s’agit d’une étude contrôlée randomisée en simple aveugle. Après la survenue d’un...

Attention, pour des raisons réglementaires ce site est réservé aux professionnels de santé.

pour voir la suite, inscrivez-vous gratuitement.

Si vous êtes déjà inscrit,
connectez vous :

Si vous n'êtes pas encore inscrit au site,
inscrivez-vous gratuitement :